¿Qué es la leucemia mielomonocítica crónica, la enfermedad que ha llevado a Berlusconi al hospital?

El ex presidente italiano Silvio Berlusconi se encuentra en tratamiento por una leucemia mielomonocítica crónica. ¿Qué es exactamente esta enfermedad? Te lo contamos

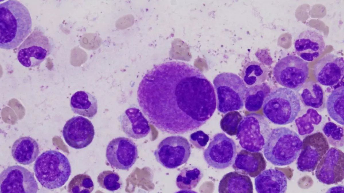
Células cancerígenas en la médula ósea. (FOTO: DIFU WU - WIKIPEDIA).
Células cancerígenas en la médula ósea. (FOTO: DIFU WU - WIKIPEDIA).

Tras unos días de rumores e incógnitas, se ha desvelado que la enfermedad que padece el ex primer ministro de Italia Silvio Berlusconi es una leucemia mielomonocítica crónica, complicada además por una infección en los pulmones. El informe médico ha desvelado que el político italiano ha estado recibiendo un tratamiento de quimioterapia para combatirla. Pero ¿Qué es exactamente esta enfermedad?

Un cáncer de la sangre

La leucemia mielomonocítica crónica -frecuentemente abreviada en LMMC o CMML por sus siglas en inglés- es un tipo de cáncer de la sangre. Por su prefijo griego sabemos a qué afecta: "mielo" significa médula en griego y los monocitos son un tipo de glóbulos blancos. Por lo tanto es una enfermedad en la que estos monocitos se multiplican de manera descontrolada, llegando a acumularse en la médula ósea u otros órganos, perjudicando así el funcionamiento normal del cuerpo humano.

Muchos de estas células que se crean a mayores nunca llegan a la madurez, y se quedan en una fase intermedia que los médicos denominan "blastos".

La función original de los monocitos es el de ayudar en el tratamiento de infecciones y limpieza celular, ingiriendo microbios dañinos en la sangre, o ayudando a la eliminación de células muertas en los tejidos. Al descontrolare su producción, afectan negativamente a la actividad de los glóbulos rojos, los que transportan oxígeno en la sangre, o las plaquetas, que forman coágulos para sellar las heridas.

Síntomas y Tratamientos

La OMS distingue dos tipos de LMMC: el tipo 1, en el cual los pacientes tienen entre menos del 5 por ciento de blastos en la sangre y menos del 10 por ciento de blastos

en la médula ósea; y el tipo 2, en el que hay más del 5 por ciento pero menos del 20 por ciento de blastos en la sangre o entre un 10 y un 20 por ciento de blastos en la médula ósea. Como comparación, las personas sanas no suelen tener blastos en la sangre y presentan menos de un 5% de ellos en la médula ósea.

Los síntomas típicos de esta enfermedad son:

  • El cansancio extremo debido a la anemia, pues los glóbulos rojos se ven dificultados en su labor.
  • Moratones, sangrado o petequias -pequeños puntos rojos en la piel, debido a la falta de plaquetas.
  • Infecciones frecuentes por la falta de glóbulos blancos desarrollados.
  • Agrandamiento del bazo, que puede transmitir una sensación de saciedad
  • Agrandamiento del hígado

En la LMMC, el tratamiento habitual se da a través de medicamentos. La investigación clínica está en continuo avance en este campo. En el momento presente se puede tratar pero no curar con los tratamientos existentes.

Se pueden realizar trasplantes de células madre, aunque la tasa de rechazo va creciendo con la edad, por lo que esta técnica suele reservarse para otro tipo de leucemia mielomonocítica, la juvenil, que se da entre niños y niñas.

En algunos casos, cuando el paciente es de edad avanzada y no responde a los tratamientos con medicamentos, existe la alternativa del trasplante de células madre "de intensidad reducida", acompañado por dosis pequeñas de quimioterapia. Según los datos disponibles por el informe médico del ex primer ministro italiano, este parece ser el caso de Berlusconi.

Contenido patrocinado

stats