CONCURSO LA REGIÓN
Os mellores premios dos Maios

¿Qué significa que los dinosaurios fueran de sangre caliente?

Un nuevo método es capaz de determinar si los dinosaurios eran de sangre fría o caliente usando pistas en sus huesos que indicaban cuánto respiraron los animales en su última hora de vida.

Agencias
Publicado: 25 may 2022 - 21:32
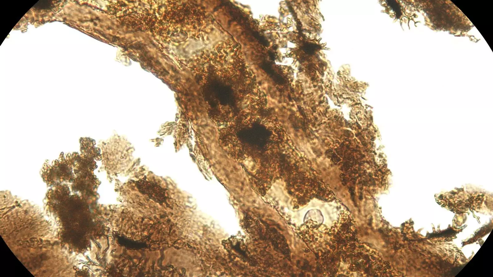
Vista microscópica de los tejidos blandos extraídos de los huesos de uno de los especímenes de dinosaurio (Allosaurus) que se utilizaron para el estudio. EFE
Vista microscópica de los tejidos blandos extraídos de los huesos de uno de los especímenes de dinosaurio (Allosaurus) que se utilizaron para el estudio. EFE

Un nuevo método es capaz de determinar si los dinosaurios eran de sangre fría o caliente usando pistas en sus huesos que indicaban cuánto respiraron los animales en su última hora de vida.

El estudio, publicado en la revista `Nature`, muestra que los dinosaurios con caderas de pájaro como el T. rex y el Brachiosaurus eran de sangre caliente, mientras que los dinosaurios con caderas de lagarto como Triceratops y Stegosaurus eran de sangre fría.

Durante décadas, los paleontólogos han debatido si los dinosaurios eran de sangre caliente, como los mamíferos y las aves modernas, o de sangre fría, como los reptiles modernos. Saberlo podría darnos pistas sobre su grado de actividad y cómo era su vida cotidiana, pero los métodos para determinar su sangre caliente o fría -la rapidez con la que sus metabolismos podían convertir el oxígeno en energía- no eran concluyentes.

"La cuestión de si los dinosaurios eran de sangre caliente o fría es una de las más antiguas de la paleontología, y ahora creemos que tenemos un consenso, que la mayoría de los dinosaurios eran de sangre caliente", señala Jasmina Wiemann, autora principal del artículo e investigadora postdoctoral en el Instituto de Tecnología de California.

"El nuevo método desarrollado por Jasmina Wiemann nos permite inferir directamente el metabolismo de los organismos extintos, algo con lo que sólo soñábamos hace unos años", destaca Matteo Fabbri, investigador postdoctoral del Museo Field de Chicago y uno de los autores del estudio.

Los animales de sangre caliente, como las aves y los mamíferos, toman mucho oxígeno y tienen que quemar muchas calorías para mantener su temperatura corporal y permanecer activos. Los animales de sangre fría, o ectotérmicos, como los reptiles, respiran menos y comen menos. Su estilo de vida es menos costoso energéticamente que el de los animales de sangre caliente, pero tiene un precio: los animales de sangre fría dependen del mundo exterior para mantener su cuerpo a la temperatura adecuada para funcionar (como una lagartija tomando el sol), y tienden a ser menos activos que las criaturas de sangre caliente.

Al ser las aves de sangre caliente y los reptiles de sangre fría, los dinosaurios quedaron atrapados en medio de un debate. Las aves son los únicos dinosaurios que sobrevivieron a la extinción masiva de finales del Cretácico, pero los dinosaurios (y, por extensión, las aves) son técnicamente reptiles: fuera de las aves, sus parientes vivos más cercanos son los cocodrilos y los caimanes. Por lo tanto, la pregunta que surge es si los dinosaurios son de sangre caliente o de sangre fría.

El nuevo método propuesto por Wiemann, Fabbri y sus colegas no se fija en los minerales presentes en los huesos ni en la rapidez con la que crecieron los dinosaurios, sino que se fijan en una de las características más básicas del metabolismo: el uso del oxígeno.

Cuando los animales respiran, se forman productos secundarios que reaccionan con las proteínas, los azúcares y los lípidos, dejando atrás "residuos" moleculares. Estos residuos son extremadamente estables e insolubles en agua, por lo que se conservan durante el proceso de fosilización. Dejan constancia de la cantidad de oxígeno que respiraba un dinosaurio y, por tanto, de su ritmo metabólico.

Así, buscaron estos restos moleculares en los fósiles de fémures de color oscuro, porque esos colores oscuros indican que se conserva mucha materia orgánica. Examinaron los fósiles mediante espectroscopia Raman y de infrarrojos con transformación de Fourier. "Estos métodos funcionan como microscopios láser, básicamente podemos cuantificar la abundancia de estos marcadores moleculares que nos hablan de la tasa metabólica --asegura Wiemann--. Es un método especialmente atractivo para los paleontólogos, porque no es destructivo".

El equipo analizó los fémures de 55 grupos diferentes de animales, incluidos los dinosaurios, sus primos voladores los pterosaurios, sus parientes marinos más lejanos los plesiosaurios, y las aves, mamíferos y lagartos modernos. Compararon la cantidad de subproductos moleculares relacionados con la respiración con las tasas metabólicas conocidas de los animales vivos y utilizaron esos datos para inferir las tasas metabólicas de los extintos.

Descubrieron que las tasas metabólicas de los dinosaurios eran generalmente altas. Hay dos grandes grupos de dinosaurios, los saurisquios y los ornitisquios: los de cadera de lagarto y los de cadera de ave. Los dinosaurios con caderas de lagarto, como el Triceratops y el Estegosaurio, tenían tasas metabólicas bajas comparables a las de los animales modernos de sangre fría.

Los dinosaurios con caderas de ave, incluidos los terópodos y los saurópodos -los dinosaurios depredadores de dos patas, más parecidos a las aves, como el Velociraptor y el T. rex, y los herbívoros gigantes de cuello largo, como el Brachiosaurus- eran de sangre caliente o incluso caliente.

Los investigadores se sorprendieron al descubrir que algunos de estos dinosaurios no sólo eran de sangre caliente: tenían tasas metabólicas comparables a las de las aves modernas, mucho más altas que las de los mamíferos. Estos resultados complementan observaciones independientes anteriores que insinuaban tales tendencias pero no podían aportar pruebas directas, debido a la falta de un indicador directo para inferir el metabolismo.

Estos hallazgos, según los investigadores, pueden darnos una visión fundamentalmente nueva de cómo era la vida de los dinosaurios. "Los dinosaurios con tasas metabólicas más bajas habrían sido, hasta cierto punto, dependientes de las temperaturas externas --explica Wiemann--. Los lagartos y las tortugas se sientan al sol y toman el sol, y puede que tengamos que considerar una termorregulación "conductual" similar en los ornitisquios con tasas metabólicas excepcionalmente bajas".

"Los dinosaurios de sangre fría también podrían haber tenido que migrar a climas más cálidos durante la estación fría, y el clima podría haber sido un factor selectivo para el lugar donde algunos de estos dinosaurios podían vivir", añade.

Por otro lado, los dinosaurios de sangre caliente habrían sido más activos y habrían necesitado comer mucho. "Los saurópodos gigantes de sangre caliente eran herbívoros, y se necesitaría mucha materia vegetal para alimentar este sistema metabólico --explica--. Tenían sistemas digestivos muy eficientes, y como eran tan grandes, probablemente les costaba más enfriarse que calentarse." Mientras tanto, los dinosaurios terópodos -el grupo que contiene a las aves- desarrollaron altos metabolismos incluso antes de que algunos de sus miembros desarrollaran el vuelo".

Además de darnos una idea de cómo eran los dinosaurios, este estudio también nos ayuda a entender mejor el mundo que nos rodea hoy. Los dinosaurios, a excepción de las aves, desaparecieron en una extinción masiva hace 65 millones de años, cuando un asteroide impactó contra la Tierra.

"Generalmente se ha sugerido que tener una alta tasa metabólica es una de las ventajas clave a la hora de sobrevivir a las extinciones masivas y de irradiar con éxito después", dice Wiemann. De hecho, algunos científicos han propuesto que las aves sobrevivieron mientras los dinosaurios no avianos murieron debido a la mayor capacidad metabólica de las aves. Pero este estudio, dice Wiemann, ayuda a demostrar que esto no es cierto: muchos dinosaurios con capacidades metabólicas excepcionales similares a las de las aves se extinguieron.

"Estamos viviendo la sexta extinción masiva --advierte-- por lo que es importante que entendamos cómo respondieron fisiológicamente los animales modernos y extintos al cambio climático y a las perturbaciones ambientales anteriores, de modo que el pasado pueda informar sobre la conservación de la biodiversidad en el presente e informar nuestras acciones futuras".

Contenido patrocinado

stats